
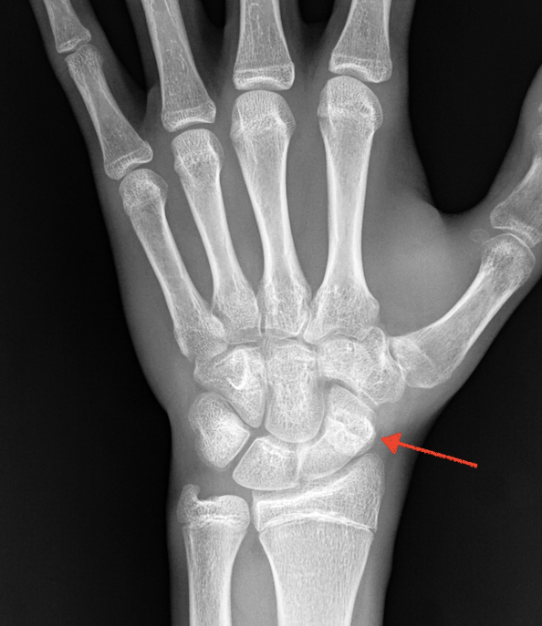
Lo scafoide carpale è un osso che fa parte della prima filiera del carpo. Il suo ruolo è molto importante, la sua biomeccanica all'interno dei movimenti del polso è molto complessa e purtroppo la sua vascolarizzazione è molto delicata.
Le fratture anche per banali traumi sono frequenti, come frequenti sono le fratture misconosciute che non vengono diagnosticate e trattate tempestivamente e possono portare ad una pseudoartrosi, ossia un quadro cronico di mancata consolidazione causa sia di dolore, ma soprattutto di alterata funzionalità del polso i cui movimenti continuano in un quadro di nono coordinazione con le altre ossa. Questo nel tempo porta a delle alterazioni artrosiche con coinvolgimento di altre zone del carpo fino ad una artrosi diffusa.
Il trattamento delle pseudoartrosi prevede una "toilette" del focolaio di pseudoartrosi, portando via il tessuto osteo-fibrotico dalla frattura ed una sintesi ossea che in alcuni casi richiede l'inserimento di un innesto osseo prelevato da un'altra sede anatomica. Questo serve a portare tessuto osseo di miglior qualità per favorire, insieme alla sintesi con viti o fili di K o miniplacche, la calcificazione e quindi la guarigione.
Il percorso chirurgico non può prescindere da una corretta successiva terapia riabilitativa.